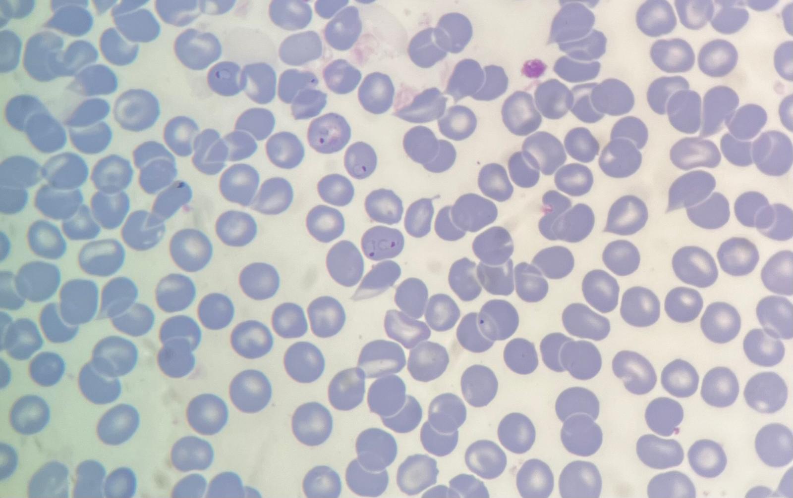
Plasmodium falciparum

Plasmodium falciparum



Tinción de Giemsa

Hospital Universitario Álava

Publicado el 30/10/2024