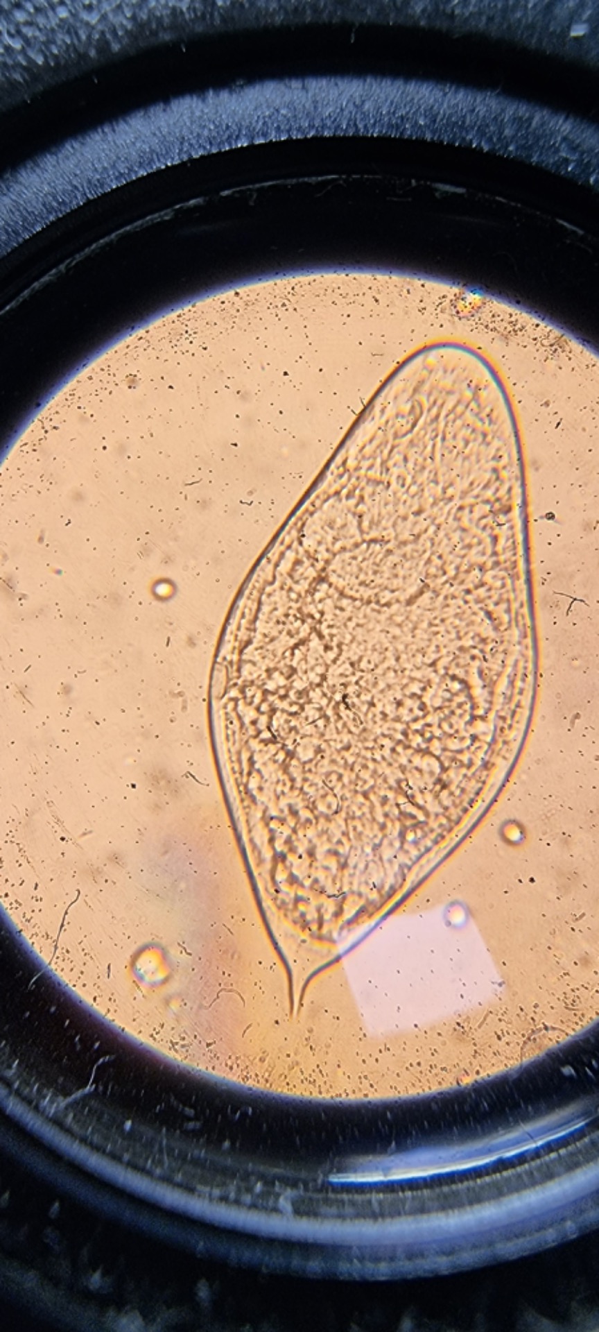
Microscocopía de concentración en orina
Hospital Universitario Donostia
Publicado el 31/10/2024
Puedes personalizar tus preferencias de cookies aquí. Habilita o deshabilita las siguientes categorías y guarda tu selección.